
İsmi açıklanamayan 34 yaşındaki bir adam, karın ağrısı ve kusma şikayetiyle hastaneye gitti. Burada yapılan ilk müdahalede, adamın neden böyle olduğu anlaşılmadı.
Pes dedirten olay! 70’lik amca, 28 yaşındaki geliniyle evlendi
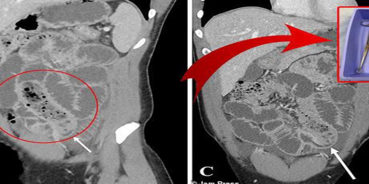
BAĞIRSAĞINDA ÇIKANLAR PES DEDİRTTİ
Daha sonra yapılan detaylı tetkikler sonucunda ilginç olay gün yüzüne çıktı. Söz konusu adamın ince bağırsağında kondoma sarılmış bir muz bulundu. Durumu gören doktorlar gözlerine inanamadı.
Röntgen çekilmesinin ardından hasta, apar topar ameliyata alındı. Doktorlar ameliyatın başarılı geçtiğini ve kondomla sarılmış muzun şahsın vücudundan çıkarıldığını aktardı. Doktorlar, hastanın bir öfke nöbeti geçirdiğini ve muzu bu sırada yuttuğunu düşündüklerini de belirtti.
3 GÜN SONRA TABURCU OLDU
Hastaneden yapılan açıklamada ise adamın ameliyattan 3 gün sonra taburcu edildiği ve yemek yemesinde herhangi bir sıkıntı yaşamayacağı bildirildi.
Çoklu ilişkinin sonu feci bitti! Genç kadın eşini, sevgilisine öldürttü
DOKTORLAR ŞAŞKINA DÖNDÜ
Ameliyatı gerçekleştiren doktorlar ise meslek hayatlarında ilk defa böyle bir vakayla karşılaştıklarını söyledi. Benzer durumların uyuşturucu kaçakçılarında görüldüğünü belirten doktorlar yine de bu durumun nadir olduğunu bir kez daha hatırlattı.
ABD’nin önde gelen tıp dergilerinden olan Cureus da yaşanan olayı sayfalarına taşıdı. Söz konusu dergi, yaşanan olayı detaylı bir şekilde anlatarak adamın bağırsaklarının 24 saattir çalışmadığını ve ölmeye çok yakın olduğunu aktardı.
MİLLİYET